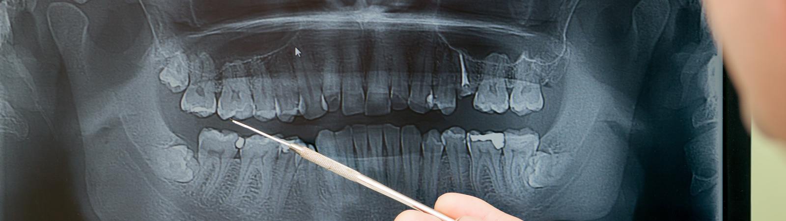
The benefits of dental X-rays are huge. Radiographs are a very important part of dentistry. Your teeth are embedded in your jaw, so without X-rays we can only see half the story. An image is formed by passing X-rays through an object (e.g. your tooth) onto a plate which is then immediately transmitted into the computer. The digital … Continue reading Digital X-Rays
Copy and paste this URL into your WordPress site to embed
Copy and paste this code into your site to embed